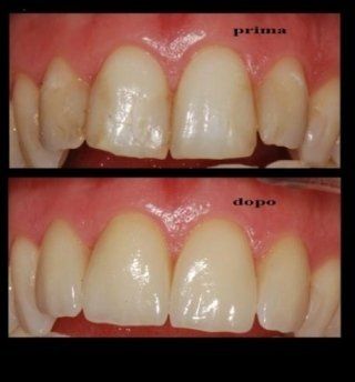
Un nuovo sorriso con protesi estetiche vicino ad Anagni
Lo Studio Dentistico del Dr. Tedesco a Colleferro ti aspetta con tante soluzioni innovative per tornare a sfoggiare un sorriso impeccabile: presso lo Studio puoi accedere a servizi professionali per l'applicazione di protesi estetiche su misura, totalmente personalizzate in base alle tue più specifiche esigenze. Sfoglia la gallery per conoscere tutti i lavori svolti.







